得了痛风和痛风石,怎么阻止关节破坏和关节变形?

  大家好,我是成都西部痛风风医院风湿免疫科医生张利君。在我查房的过程中,相信大家也看到了不少长出痛风石的痛风患者,其中有一部分患者在得了痛风石后,还不做好药物治疗和自我管理等,这让他们的痛风石迅速发展,导致后期痛风石发展到关节变形、以及关节出现破坏,以至于需要截肢治疗。痛风石到底是怎么对我们的关节造成伤害的?痛风石还会造成什么伤害?患上痛风石后又需要做什么来预防关节破坏?张医生为大家一一解答。

  

  案例简述:痛风石发展迅速,两位痛风患者叫苦不迭

  我所在的病区有过两位痛风石发展较快的痛风患者,这个发展情况不仅让他们后悔万分,还成为了我经常用来劝解众多痛风患者的典型案例。这两位痛风患者一个19岁,是一个姓娄的青年;另一个43岁,是一个姓王的先生。

  

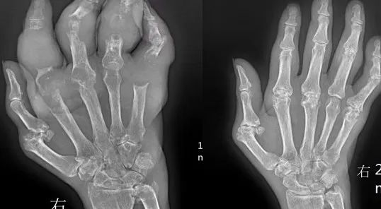
  小娄是一位年轻的痛风患者,家中有一位直属亲人也患痛风,虽然小娄患上痛风和遗传有一定的关系,但也不能全怪在遗传上,暴饮暴食、不规律的作息、不良的生活习惯等也是加速小娄患痛风的重要因素。小娄的痛风石是前两年出现的,当时痛风石还只是一个小疙瘩,没想到两年后的今天,这个小疙瘩长得比鹌鹑蛋还要大一些,这次来到我们医院主要就是做痛风石去除手术,并且由我们给他制定一个科学规范的治疗方案。

  王先生是因为代谢问题,由于尿酸生成过多以及尿酸排泄很少,导致王先生的血尿酸值长期超标。王先生发生痛风后没有太过重视,以为自己只要吃了药就行了,结果王先生不仅不进行饮食控制和生活管理,就连吃药也是想起来才吃,这使得王先生痛风没几年就长出了痛风石。痛风石才出现时我建议王先生做手术清除,结果王先生还是我行我素,认为自己能控制好病情。4年时间中痛风石越长越大,几乎已经侵蚀了手部所以关节,现在想做手术也非常难,这时王先生才是真的后悔了。

  

  02

  痛风石造成的伤害

  痛风石可以出现在我们除中枢神经系统以外的地方,也就是说,关节、躯干、皮下、软骨等等位置,都有可能出现痛风石,不过痛风石最常出现的地方,还是我们的关节内和关节周围组织。

  01/对关节的破坏

  在关节附近的骨骼、滑囊膜、腱鞘和软骨处的痛风石,可能会侵入骨质形成骨骼畸形,或是使骨质遭受损毁。比如发生在手足肌腱附近的结石,容易影响关节活动,并且容易引起关节急性炎症,部分巨大石或溃疡性痛风石可致关节畸形和关节物理功能严重丧失,可能会面临着截肢的风险。

  

  02/降尿酸困难

  痛风石是尿酸盐结晶沉积而成,并且痛风石的形成会增加患者体内尿酸池,也就是说痛风患者在降尿酸时,血液中的血尿酸排出去了,痛风石又会不断的溶解一部分尿酸盐到血液中,导致血尿酸控制困难。痛风石的出现基本上表明患者进入了痛风慢性期,不仅增加会痛风发作的频率,还会延长痛风发作的时间等。

  03/对皮肤和部分神经的伤害

  痛风患者身上的痛风石不仅会影响美观,随着痛风石的逐渐增大,可能使外表皮肤变薄破溃,形成瘘管,而排出的白色粉笔屑样的尿酸盐结晶物会妨碍皮肤愈合,进而破坏皮肤的完整性,使皮肤的抗牵拉能力下降。并且还存在部分少见部位的痛风石,如脊柱痛风石,可能会出现压迫神经的情况,这种情况最好及时做手术去除痛风石。

  

  04/痛风石破溃,有感染、死亡风险

  痛风石的部分受到挤压、摩擦、受冷、受热或创伤时,容易发生破溃,这部分的皮肤再生能力差,难以自行愈合,破溃时间久了还会形成瘘管,这不仅会对皮肤造成伤害,还有可能会发生感染。如果痛风石破溃或瘘管部位继发细菌感染并经久不愈,就可能形成慢性化脓性病灶,由于破溃处血液循环差,细胞再生能力弱,再加上感染和慢性肉芽肿等原因,很难自行愈合,严重的还可能引起脓毒血症,有死亡的风险。

  

  做好5点,阻止痛风石让关节变形

  药物治疗——科学规范的药物治疗是预防痛风石进一步伤害关节的关键,主要用到的还是降尿酸的3种药物:苯溴马隆、非布司他和别嘌醇,苯溴马隆属于促进尿酸排泄的药物,非布司他和别嘌醇属于抑制尿酸生成的药物。痛风患者需要通过检查知道自己属于尿酸生成增多型、尿酸排泄减少型还是混合型,这样才能对症用药。

  手术治疗——手术治疗是去除痛风石最快的方法,也是避免痛风石进一步侵蚀关节、减少体内尿酸池最快的方法。如果痛风患者存在痛风石,在能进行手术的情况下,当然是越早进行治疗越好。

  饮食控制——这方面相信大家也不陌生,限制高嘌呤食物、酒精、果糖、碳酸饮料、脂肪等的摄入,主打一个吃的清淡、健康,但身体必须的营养一定要有保障,不能为了饮食控制使自己出现营养不良。

  生活管理——在风湿免疫科医生的指导下,适当进行有氧运动;保持身体体重不要超标;根据肾脏功能适当饮水,保持每天尿量在2000毫升以上;保持轻松愉快的心情,学会释放压力;保持早睡早起不熬夜的好习惯。

  定期复查——定期复查能及时了解患者具体情况,及时调整药物治疗等。建议刚开始进行降尿酸治疗的痛风患者每个月进行一次复查;等尿酸平稳下降后,可以两到三个月进行一次复查;当血尿酸值控制在目标范围后,可能半年左右复查一次。

 

  对于痛风患者来说,万事开头难。无论是治疗的依从性、不良生活方式的调整、复查的坚持等,都需要痛风患者的坚持,虽然比较困难,但是做好自我管理能避免疾病诱因,规范治疗疗程,以及有可能使痛风不再复发。

  • 医院环境
  • 医院荣誉
  • 社会公益

ICP备案号:蜀ICP备19017350号-1
(青)医广(2022)第04-22-510105044号